Dentální Ve Španělsku | Medical 4U

Kliniky a nemocnice ve Španělsku se specializací na zubní lékařství

Zubní implantáty Španělsko : Ceny a kompletní průvodce

Vše, co potřebujete vědět o zubních implantátech ve Španělsku! Jaká je průměrná cena v Madridu nebo Barceloně? Naše rady pro úspěšné zavedení zubního implantátu.

ObrázkyŠpanělsko-zubu

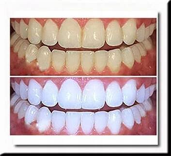
GEL NA BĚLENÍ ZUBŮ Dr.SCHWARZ 38% + PASTA VYB. za 1398.00CZK - Allegro
Information | ICEVO
Na dovolené zvracel a ztratil zuby. Po 11 letech mu přišly poštou - Novinky
Syndenta, s.r.o. foto 4
zuby sada ruzne druhy
Zubní náhrady | Fruugo CZ
Braces evolution crooked teeth #braces #orthodontist #dentist #brackets
Before & After dental procedures - Dr Roxane Katiya, dentist in St-Bruno De Montarville
Onemocnění parodontu - Zubní ordinace MUDr. Jindřich Pipek
IMG_20170213_194708.jpg

Cestování a zuby: jak se vyhnout bolesti, komplikacím a vysokým…

Někdy se ale může stát, že nás na cestě potrápí bolest zubu, zánět dásní nebo jiný zubní problém. Jak se těmto problémům vyhnout a co dělat, když se přece jen nějaké problémy se zuby v cizí zemi přihodí?

Má nejhorší suvenýr ze Španělska: Tereza Kerndlová přišla o přední zub!

Před 3 měsíciNeštěstí nechodí po horách, ale našlo si Terezu Kerndlovou! Po drsném pádu ve Španělsku musela řešit nejen odřeniny a rozseknutý ret. Přišla i o přední zub!

Ztracené zuby se našly po 11 letech. Na britského turistu čekaly na skládce

11. 2. 2022Britský turista, který před 11 lety během dovolené ve Španělsku přišel o umělý chrup, jej dostal zpět, třiašedesátiletý Paul Bishop řekl, že byl naprosto ohromen, když dostal od španělských úřadů zásilku, ve které se na něj zubil dávno…

Dočasný chrup – Wikipedie

Dočasný chrup, také označovaný jako mléčné zuby, dětské zuby, nebo obecně první zuby, je první sadou zubů v růstovém vývoji člověka a dalších difyodontních savců.

Ztracené zuby se našly po 11 letech. Na britského turistu…

Britský turista, který před 11 lety během dovolené ve Španělsku přišel o umělý chrup, jej dostal zpět. Třiašedesátiletý Paul Bishop řekl, že byl naprosto ohromen, když dostal od španělských úřadů zásilku, ve které se na něj zubil dávno…

Léčba zubního kazu v Barceloně cena / odstranění hlubokého a…

Léčba zubního kazu náklady v Katalánsku, kontaktní zubní kaz dentin, příznaky, kroky odstranění na dětských mléčných zubech bez bolesti, fotografie na klinice adresa ve Španělsku - clinicacorona.com / telefon + (34) 931 167 510 Po-Pá.
Jak probíhá moderní terapie?Moderní terapie hlubokého poškození zubu se provádí postupně s využitím nejnovějších technologií. Na recepci lékař nejprve znecitliví oblasti kolem postiženého zubu, poté provede odstranění kariózních pevných tkání pod mikroskopem. Poté se provádí speciální ošetření dutiny antiseptickými roztoky, které chrání měkké tkáně buničiny před infekcí. Postup je dokončen aplikací léčebného těsnění s přípravky fluoru a instalací trvalé výplně.
Co byste měli dělat, když zjistíte hluboké poškození zubu?Při zjištění hlubokého poškození zubu je nutné okamžitě navštívit zubaře. Samoléčení je nepřijatelné, protože poškození ovlivňuje hluboké vrstvy dentinu a může se rozšířit do pulpy. Lékař provede diagnostiku a určí optimální taktiku léčby. Mechanické zpracování kariózní dutiny by měl provádět pouze odborník pomocí sterilních nástrojů. Při úplném odstranění postižených tkání a správném antiseptickém ošetření je riziko komplikací minimální. V opačném případě může povrchový kaz rychle postupovat do hlubokých forem.
Životnost plomby a na čem závisí?Trvanlivost je dána několika podmínkami. Průměrná životnost je 5-7 let při správné péči.
Klíčové faktory: profesionalita lékaře, kvalita hygieny pacienta, pravidelné kontroly. S moderními technologiemi se proces stárnutí zpomaluje, ale pečlivá péče zůstává hlavním požadavkem.

Na dovolené zvracel a ztratil zuby. Po 11 letech mu přišly poštou

12. 2. 2022Britský turista, který před 11 lety během dovolené ve Španělsku přišel o umělý chrup, jej dostal zpět. Třiašedesátiletý Paul Bishop řekl, že byl „naprosto ohromen“, když dostal od španělských úřadů zásilku, ve které se na něj zubil dávno…

BOMA Milevsko montáže

Provádíme výměny kotlů, ústřední topení, vodoinstalace a kanalizace, řízené větrání s rekuperací.
Při pokusu o sdílení polohy došlo k chybě
Více informací
odkazuje na služby nejen od Seznam.cz.

© 1996–2025 Seznam.cz, a.s.