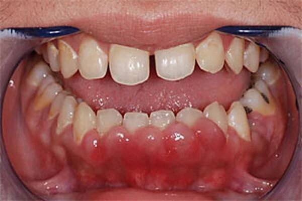
Absces dásně (přesněji nazývaný parodontální absces): Tento absces je obvykle způsoben infekcí v oblasti mezi zubem a dásní. Infekce může nastat, když se mezi dásní a zubem nahromadí velké množství zubního plaku, který je z velké části tvořen bakteriální flórou, a není důkladně odstraněn při čištění zubů. U jedinců…

Bulka na dásni: jak vzniká a co značí | Pilulka.cz

Bulky na dásni potrápí mnoho lidí. Někdy mohou být tyto bulky neškodné a jen přechodné, jindy mohou naznačovat zdravotní problémy. Jak je rozpoznat?

ObrázkyAbsces na dásni

parodontální absces. periapický typ. malá kapsa hnisu v dásně. - vrede - stock snímky, obrázky a fotky
Absces na dásni – Vše, co potřebujete vědět 1
video thumbnail
Parodontální absces
Flux na dásně - co dělat? / Flux | Užitečné informace a tipy na péči o sebe. Zdraví, výživa a další.
žena ukazující zanícené dásně na bílém pozadí, detailní pohled - zánět dásní - stock snímky, obrázky a fotky
Symptomy a léčba abscesu zubů / Absces | Užitečné informace a tipy na péči o sebe. Zdraví, výživa a další.
Co dělat, když tavidlo praskne?
Periodontitida a zánět dásní. Lékařsky přesná zubní 3D ilustrace — Stock obrázek

Absces zubů | Clinic for Smile

Abscesy jsou velmi závažné stavy, které mohou vést k vážným problémům, pokud nejsou okamžitě ošetřeny. Příčinou vzniku abscesu je také onemocnění dásní.

Zubní váček. Příčiny, příznaky a léčba. - Schill Dental Clinic

Zubní váček, neboli absces, je bolestivý zánět, který vyžaduje okamžitou léčbu. Zjistěte, jak poznat příznaky, jak probíhá léčba a co dělat, když vás bolí zub.

Váček na dásni: Co to je a jak ho léčit doma? | Kralvitamin.cz

Váček na dásni může být nejen nepříjemný, ale mnohdy i dost bolestivý problém, který signalizuje vážnější zánět. I když se může zdát, že ho zvládnete sami
Při pokusu o sdílení polohy došlo k chybě
Více informací
odkazuje na služby nejen od Seznam.cz.

© 1996–2025 Seznam.cz, a.s.