Aneuryzma je patologické vyboulení cévy neboli výduť. Nejvíce postihuje aortu a mozkové tepny. Zrada číhá v tom, že tento zdravotní problém často probíhá skrytě. Pacienty netrápí žádné viditelné příznaky, ale pokud aneuryzma praskne, nastává život ohrožující komplikace. Na co si dát pozor?

Aneurysma – Wikipedie

Aneurysma srdce může vzniknout po rozsáhlejším infarktu myokardu. Poškozená svalovina srdce se zhojí jizvou, která se vyklene tlakem krve v pracujícím srdci.

Aneuryzma

14. 4. 2008Aneuryzma neboli výduť je obecně lokální vydutí stěny nějakého dutého orgánu. Nejběžnější bývá aneuryzma tepenné a aneuryzma srdeční stěny.

ObrázkyAneuryzma

aneuryzma srdca
Aktuality
Aneuryzma břišní aorty - ilustrace
Stentgraft - aneurysma aorty
Časté bolesti hlavy a závratě jsou nejčastějšími příznaky tohoto vážného onemocnění, které 99 % lidí rozpozná příliš pozdě
Tak vypadají aneurysma v mozku a jejich léčba.
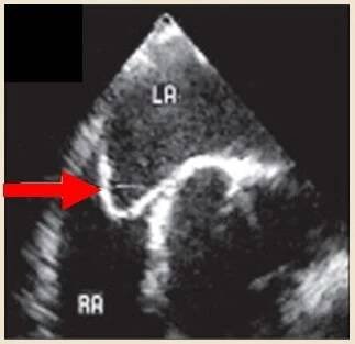
Aneuryzma atriálního septa na TEE
Infarkt myokardu – WikiSkripta

Aneurysma aorty | NZIP

Aneurysma aorty je místní vyboulení ve stěně aorty, což je největší tepna v lidském těle. Zdravá aorta má silné stěny, které odolávají normálnímu krevnímu tlaku. ...

Aneurysma

Aneurysma je medicínský výraz pro rozšíření neboli výduť dutého orgánu ( z řeckého aneurynein = otvírat). Nejčastěji se vztahuje k tepnám, nebo stěně srdeční komory. Aneurysma srdce může vzniknout po rozsáhlejším infarktu myokardu. Poškozená svalovina srdce se zhojí jizvou, která se vyklene tlakem krve v pracujícím srdci. Zhoršuje vypuzovací funkci srdce – stěna vyklenutí se nestahuje. Může se vyplnit krevní sraženinou, která ohrožuje nemocného embolizací. Aneurysma tepny je důsledkem vrozené… Wikipedie

Při pokusu o sdílení polohy došlo k chybě
Více informací
odkazuje na služby nejen od Seznam.cz.

© 1996–2025 Seznam.cz, a.s.