Nabídky ze Zboží.cz

Hodnocení: 100% 5,0 (1)
Skladem
od 49 Kč
295 Kč
e-kondomy.cz

Zboží.cz

zbozi.cz
Radlická 3294/10, 150 00 Praha, Smíchov

Pomůžeme vám srovnat ceny internetových obchodů, poradí jak vybrat například chytrý telefon nebo ukáže, co právě frčí. Na jednom místě najdete recenze, fotky i návody k výrobkům. A když máte vybráno, snadno si zvolíte internetový obchod. Třeba podle toho, kde se dobře nakupovalo ostatním.

Logo
+0 fotek
Logo mapy.com
2,6Průměrné hodnocení(30)

JoyDrops Genital Bleaching Cream 100 ml od 295 Kč - Heureka.cz

Prozkoumejte nový rozměr sebejistoty s naším oživujícím produktem! Joydrops Genital Bleaching Cream (100ml) odhaluje vaši přirozenou krásu. Rozloučte se s nees...
Cena 295 KčSkladem

Univerzální multifunkční agent s obsahem kyslíku | Eurona

Univerzální bělící prostředek s aktivním kyslíkem účinně odstraňuje skvrny a špínu z prádla. Ideální pro domácnosti hledající silného pomocníka.

ObrázkyBleaching

Die Bleaching-Strips musst Du exakt auf Deine Zähne kleben und dabei das Zahnfleisch aussparen.
Young attractive woman
Bleaching
Hair Bleaching Course - Bello Models Academy
Auftragen des Bleaching-Gels
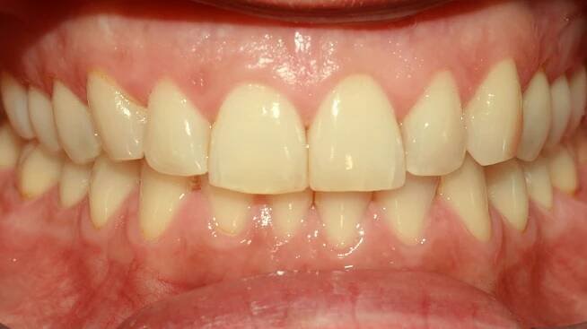
Teeth Bleaching and Bonding in Dubai - The Dental Studio
Bleaching
Bělení
Vorbereitung für das Bleaching
Teeth Whitening Or Bleaching

Bleaching / Nejlevnější knihy

Kupte knihu Bleaching (Neetu Jindal, Renu Aggarwal) s 14 % slevou za 1520 Kč v ověřeném obchodě. Prolistujte stránky knihy, přečtěte si recenze čtenářů, nechte si doporučit podobnou knihu z nabídky více než 23 miliónů titulů.
Cena 1 520 KčSkladem

Hair bleaching - Wikipedia

Hair bleaching is the practice of lightening the hair color, mainly for cosmetic purposes using bleaching agents. Bleaching can be done alone, combined with a toner, or as a step for further hair coloring.

Zboží.czBleaching

Eurona Cerny Bleaching Agent univerzální čistič s obsahem kyslíku 800 g

Eurona Cerny Bleaching Agent představuje mimořádně účinný čistič. Obsahuje aktivní kyslík v nejčistší podobě. Účinkuje okamžitě a napadá těžce odstranitelnou špínu a skvrny (i pigmentové skvrny od…

od 104 Kč
v 6 obchodech
Při pokusu o sdílení polohy došlo k chybě
Více informací
odkazuje na služby nejen od Seznam.cz.

© 1996–2025 Seznam.cz, a.s.