Na paradentózu - Tantum Verde

Na záněty v ústní dutině je tu Tantum Verde. Tlumí zánět a potlačuje bolest.
Ulevuje od bolesti v krkuDezinfikuje po zákrocíchLéčí záněty dutiny ústníČtěte příbalový leták

Odstraňte paradentózu přírodně - Oral Biotics

Zubní lékařka radí: Paradentóza? Dělejte toto jednou denně, zabere to jen 30 sekund ...
Rychlé doručeníDoporučeno lékařIJiž 11 let na trhu

Přípravky na parodontózu - Oroxid | účinná pomoc

Účinně pomáhá na potíže s parodontózou silou aktivního kyslíku.

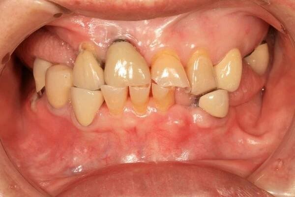
Paradentóza neboli správně řečeno parodontitida je zánět parodontu, tedy onemocnění týkající se vazivového a kostního závěsného aparátu zubu. Často vzniká v důsledku neléčené gingivitidy - zánětu dásní. Zánětlivé onemocnění způsobují bakterie usazující se v ústní dutině. Bakterie se usadí na sklovině zubu a…

Parodontitida – Wikipedie

Parodontitida (parodontóza, paradentóza, paradontóza) je zánětlivé onemocnění závěsného aparátu zubů čili parodontu (lat. parodontium).
Paradentózy v procesu — Stock obrázek
Zubní implantát Brno _ premolár_2
Zub moudrosti erupce problémy ilustrovaná anatomie — Ilustrace
Parodontitida: co to je?
Zubní implantát Brno _ premolár_4
Zubní implantát Brno _ premolár_korunka_3
Rakovina Ust Priznaky - priznaky 2020
Soubor:Mirna parodontitida.jpg – Wikipedie
Paradentóza u zvířat představuje vážný problém. Dá se jí však předejít dobrou hygienou dutiny ústní - NeposlušnéTlapky
Soubor:Stredni parodontitida.jpg – Wikipedie

Parodontóza a nákaza – přenáší se, nebo ne? - Lékárna.cz

Je parodontóza nakažlivá? Zjistěte, jak se šíří onemocnění dásní, co ovlivňuje jeho přenos a jak chránit své zuby i blízké.

Co je to paradentóza a jak jí předcházet | BENU.cz

Parodontitidu způsobuje zanedbaná ústní hygiena. Je velkým strašákem zubů, ale i jejich majitelů. Jde o zánětlivé onemocnění dásní i okolního aparátu, na kterém jsou zuby zavěšeny.
Oteklé dásněDobrý den,
Otok dásní, který trvá tak dlouho a opakuje se, signalizuje problém, který by měl určitě řešit zubní lékař. Proto doporučuji jeho návštěvu, co nejdříve to bude možné.
Tablety Brufen rapidcaps řeší jak bolest tak zánět, ale neměla by jste je užívat dlouhodobě.
Na zánět dásní existují kvalitní přípravky s obsahem chlorhexidinu, například ústní voda Paroex 0,12%, ta se používá krátkodobě k výplachům. Používat 1 až 2 týdny k léčbě zánětu, neředit, voda působí na bakterie viry i kvasinky.
Z gelů bych Vám doporučila Enzymel Intensive gel na dásně - léčí zánět, je antibakteriální, snižuje otok a urychluje hojení a také zvyšuje vlastní obranyschopnost sliznice. Klidně vícekrát denně nanést na postižené bolestivé místo, chvíli potom nejíst a nepít.
Na čištění zubů doporučuji používat nejlépe jemný kartáček se zaoblenými štětinkami, který Vám nebude dásně dále dráždit. Z naší nabídky jsou to kartáčky Curaprox 5460, ty jsou nejjemnější.
Z tablet na tlumení bolesti je vhodný ibuprofen, nalgesin nebo diclofenac. Působí na bolest i na zánět, ale užívejte je vždy v souladu s jejich SPC a pokud nemáte jiné potíže či léky, které by byly k těmto lékům kontraindikované.
Paroex 0,12%
Enzymel Intensive gel na dásně
Curaprox 5460
S pozdravem
Mgr. Nesrstová Kristýna
vedoucí lékárník BENU Šternberk
Co na paradentozu a odhalené krčky?Dobrý den,
s odhalenými krčky pomůže jedině pečlivá zubní hygiena včetně denního používání kvalitního měkkého kartáčku, mezizubních kartáčků a jednosvazkového kartáčku. Vhodnou velikost mezizubních kartáčků vyberte spolu se zubním hygienistou, toho je potřeba minimálně dvakrát do roka navštívit. Standardně během ošetření pak také poskytne rady na co se zaměřit a provede fluoridaci, která pomůže odstranit vnímání bolesti. Chybou by bylo citlivá místa nečistit. Jako doplnění lze místo klasického kartáčku používat sonický - např. od TruLife nebo Sonicare. Jako příklad přikládám odkaz na jeden od firmy TrueLife. Pouhá zubní pasta nikdy nebude mít ten správný efekt. Zkuste se také informovat u Vaší zdravotní pojišťovny. Některé přispívají v rámci zdravotních programů právě na ošetření u zubního hygienisty.
TrueLife SonicBrush UV sonický kartáček
TePe mezizub.kart. Startovací sada
TePe jednosvaz.zub.kart.Compact Tuft blistr
Zdraví,
PharmDr. Matyáš Palan
lékárník BENU Beroun
Přípravek na paradentózu v těhotenstvíDobrý den.
Určitě můžete podávat krátkodobě (14dní) Parodontax. Bez problémů jsou i stahující pasty, jako je Lacalut.
Na webu fetalrisk.com, který sbírá data z jednotilivých národních databází, dokonce získala účinná složka chlorhexidin nejvyšší stupeň A.
S pozdravem.
Mgr. Václav Navrátil
vedoucí lékárník Olomouc

Paradontóza – léčba a přípravky – Green idea

Paradontóza je zánětlivé onemocnění zubů a přiléhající tkáně. Někdy může zasahovat až do přilehlých kostí.

Parodontitida: co byste měli vědět | Pilulka.cz

Strava bohatá na vitamíny a minerální látky, zejména vitamín C, který podporuje zdraví dásní a kolagenu, je prospěšná. Zinek a omega-3 mastné kyseliny mají protizánětlivé účinky a mohou přispět ke snížení zánětu v dásních.
Při pokusu o sdílení polohy došlo k chybě
Více informací
odkazuje na služby nejen od Seznam.cz.

© 1996–2025 Seznam.cz, a.s.