Cytomegalovirus

Virus

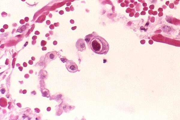
Cytomegalovirus, zkráceně CMV, je rod virů, do něhož mimo jiné patří vir známý jako lidský cytomegalovirus (HHV-5). Tento rod si jméno vysloužil svojí schopností zvětšovat hostitelské buňky. Daří se mu to zablokováním apoptózy skrze mitochondrie. Společně s dalšími známými lidskými rody herpesvirů, jako jsou Simplexvirus a Lymphocryptovirus, patří do čeledi… Wikipedia

Lidé také hledají

Cytomegalovirus ( CMV ) je virus, který patří do skupiny herpetických virů6. Infekce cytomegalovirem nemusí způsobit žádné potíže u osob s dobrým imunitním systémem. Nejčastěji se projeví u lidí, kteří mají oslabený imunitní systém.

ObrázkyCytomegalovirus

Cytomegalovirus’ Immune Evasion Tactics Uncovered
Cytomegalovirus
Editace stránky Cytomegalovirus – Wikipedie
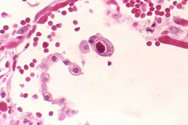
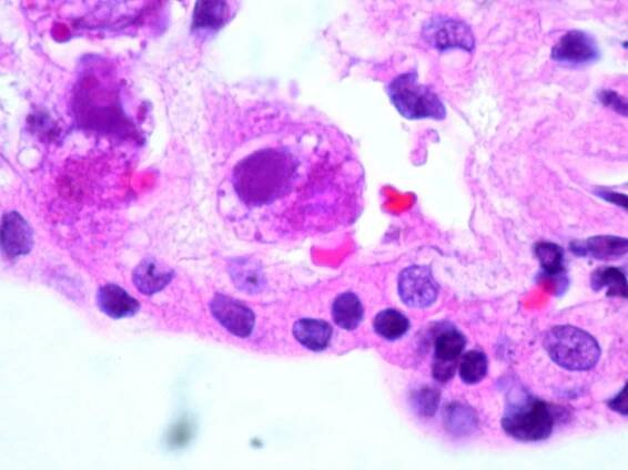
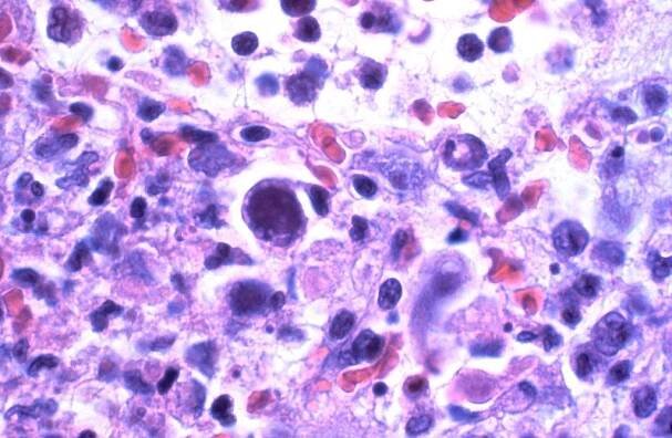
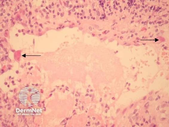
zánět placenty způsobený CMV
CytomegalovirusVaccine.jpg
Figure 1
Cytomegalovirus (CMV) - příznaky, příčiny a léčba
Cytomegalovirus snižuje inteligenci, zjistili vědci
Cytomegalovirus can cause permanent birth defects

Cytomegalovirus – Wikipedie

Cytomegalovirus, zkráceně CMV, je rod virů, do něhož mimo jiné patří vir známý jako lidský cytomegalovirus (HHV-5). Tento rod si jméno vysloužil svojí schopností zvětšovat hostitelské buňky.

Záludný vetřelec cytomegalovirus - Babyweb.cz

17. 1. 2023Běžně tento virus nezpůsobí žádné obtíže. Přesto může být cytomagalovirus vážnou komplikací v těhotenství a nebezpečím pro novorozené děti. Následky infekce mohou být dokonce fatální.

Venerologie

Cytomegalovirus je přenosný tělními tekutinami, tedy kontaktem s krví, slinami, poševním sekretem, spermatem, mateřským mlékem atd. Z 90% dojde k nákaze během dětství, což se může, ale nemusí projevit rozvojem infekční mononukleózy, která…
Při pokusu o sdílení polohy došlo k chybě
Více informací
odkazuje na služby nejen od Seznam.cz.

© 1996–2025 Seznam.cz, a.s.