Co byste měli dělat, pokud máte zadržování moči?
Co je to demyelinizace? / Neuropsychologie
Alkohol
Vysoký krevní tlak v mladém věku může způsobovat předčasné stárnutí mozku - Zdravestravovani.eu
Víte, jaké jsou první příznaky Alzheimerovy choroby? Mohou být sice způsobené pouze stresem, ale je nutné si dávat pozor. Choroba při nezjištění postupuje velmi rychle

Proces demyelinizace znamená ztrátu myelinu z povrchů axonů. Myelin izoluje nervové vlákno a umožňuje správný přenos nervových signálů, jeho ztráta tedy vede k poruše funkce nervu. Typické demyelinizační onemocnění je roztroušená skleróza.

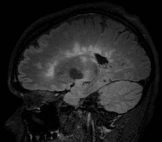
Vícečetná tumoriformní ložiska mozku jako první projev…

Tumoriformní demyelinizace patří mezi vzácné formy RS, její diferenciální dia¬gnostika může být obtížná, proto je nutno v první řadě vyloučit jiné dia¬gnózy, jako jsou např. mozkový tumor či absces.

Neuroanatomie paměti – Wikipedie

Při poškození určité oblasti mozku by tedy měly zmizet určité vzpomínky, které se v této oblasti nacházely, kdežto jiné vzpomínky by neměly být poškozeny.
Neobsahuje demyelinizaceMusí obsahovat demyelinizace

neurokognitivní porucha | NZIP

Neurokognitivní porucha je pojem používaný v neurologii, který označuje snížené mentální funkce v důsledku jiného než duševního onemocnění. Často se používá ...
Neobsahuje demyelinizaceMusí obsahovat demyelinizace

Chronická zánětlivá demyelinizační neuropatie (CIDP) - Fakultní…

1. Co je CIDP? CIDP je vzácné neurologické onemocnění charakterizované chronickým zánětem, který poškozuje myelinovou pochvu, ochranný obal nervů. Toto poškození narušuje nervové signály a může vést ke slabosti, necitlivosti a poruchám…
Neobsahuje mozkuMusí obsahovat mozku

Neuromyelitis optica a další vzácné formy demyelinizace | MT

Neuromyelitis optica a další vzácné formy demyelinizace » Souhrn Neuromyelitis optica je autoimunitní onemocnění postihující mozek a míchu.…

Co je neuroplasticita? Jak můžeme měnit svůj mozek? | Herbalus

Plasticita se týká poddajnosti mozku nebo schopnosti měnit se; neznamená to, že mozek je plastický. Neuro odkazuje na neurony, nervové buňky, které jsou stavebními kameny mozku a nervového systému.
Neobsahuje demyelinizaceMusí obsahovat demyelinizace

Demyelinizační Onemocnění

Zánětlivé Demyelinizační onemocnění Centrálního nervového systému.
Neobsahuje demyelinizaceMusí obsahovat demyelinizace

Co je to demyelinizace? / Neuropsychologie | Thpanorama…

Demyelinizace je proces, kterým myelin v mozku postupně mizí. Ale co je myelin? Myelin je a
Při pokusu o sdílení polohy došlo k chybě
Více informací
odkazuje na služby nejen od Seznam.cz.

© 1996–2025 Seznam.cz, a.s.