Dysplazie – Wikipedie

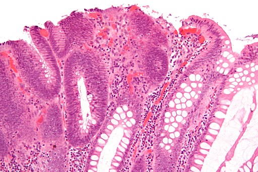
Dysplazie je termín užívaný v patologii odkazující na poruchu vývoje nebo růstu. [1 ] Při této poruše vývoje často dochází k expanzi nezralých buněk (jako například buňky ektodermu) s odpovídajícím úbytkem zralých buněk.

Dysplázie | uLékaře.cz

Byla vám diagnostikována dysplazie dutiny ústní, děložního čípku, prsu nebo žaludeční sliznice? Tento výraz má několik významů.

Dysplazie | Medicína, nemoci, studium na 1. LF UK

Slovo dysplazie (dysplázie) má v medicíně více významů.

dysplazie | NZIP

Dysplazie je odborný výraz pro nějakou vývojovou abnormalitu. Nejčastěji se jedná o změnu velikosti, tvaru a uspořádání buněk, avšak obecně to může být i mnohem ...

dysplazie, metaplazie » Linkos.cz

Dysplazie jsou morfologické změny jednotlivých buněk a jejich uspořádání ve tkáni, typ tkáně se však celkově nemění. Vzniká vlivem chronického dráždění (např. virová infekce, kouření, mechanické dráždění), při trvajícím dráždění se změny…

Jaké jsou příčiny dysplazie kloubů ? Lze tomu zabránit ? | Fera…

Displazie kloubů se vyskytuje nejčastěji u psů velkých plemen a vede ke slabosti a uvolnění kloubního pouzdra, vazů a svalů.

Vada, kterou je třeba co nejdříve řešit. Dysplazie kyčelního kloubu postihuje i dospělé

27. 3. 2024Dysplazie kyčelního kloubu. Jaké jsou příznaky, pravidla prevence a jak probíhá léčba u kojenců i dospělých?

Fibrózní dysplazie | proLékaře.cz

Fibrózní dysplazie (FD) je vrozené onemocnění skeletu charakterizované přítomností kostních lézí obsahujících fibrózní pojivovou tkáň.

Dysplázie – WikiSkripta

Internetové studijní materiály pro studenty českých a slovenských lékařských fakult.

Dysplazie | PetCenter.cz

Dysplazie je termín, který označuje abnormální vývoj tkání nebo orgánů. Nejčastěji se používá v souvislosti s kosterním systémem, zejména u psů, kde je běžným problémem dysplazie kyčelního nebo loketního kloubu.

Dysplazie

Dysplazie je termín užívaný v patologii odkazující na poruchu vývoje nebo růstu. Při této poruše vývoje často dochází k expanzi nezralých buněk (jako například buňky ektodermu) s odpovídajícím úbytkem zralých buněk. Dysplazie často svědčí pro počínající neoplastický proces. Termín dysplazie je často používán v případě, že buněčná odchylka je limitována na výchozí tkáň, jako v případě in-situ neoplastických procesů. Způsobuje vyšší riziko vzniku zhoubného nádoru. Na jejím vzniku se podílí… Wikipedie

Při pokusu o sdílení polohy došlo k chybě
Více informací
odkazuje na služby nejen od Seznam.cz.

© 1996–2025 Seznam.cz, a.s.