ObrázkyEosinofily

Eozinofily - eosinofily
Eosinofily vzrostly v krvi, co dělat? Jaká je norma? /
PPT - Imunitní systém kůň PowerPoint Presentation, free download - ID:5193923
PPT - Krev a krvetvorba PowerPoint Presentation, free download - ID:991036
Eosinofily vzrostly v krvi, co dělat? Jaká je norma? / | Užitečné informace a tipy na péči o sebe. Zdraví, výživa a další
PPT - Krev a krvetvorba PowerPoint Presentation, free download - ID:4665499

Eosinofily - eosinofilní granulocyty - jsou buňky, které patří do rodiny bílých krvinek, leukocytů. Eosinofily tak tvoří společně s ostatními bílými krvinkami imunitní systém člověka. Samotné eosinofily jsou zodpovědné zejména za boj proti parazitům, kteří napadli naše tělo...

Eosinofilní granulocyt – Wikipedie

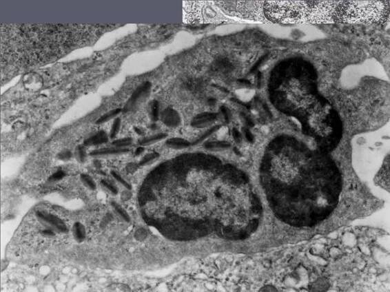
Eosinofilní granulocyty, nebo také eozinofily, jsou buňky imunitního systému patřící do skupiny granulocytů. Mají charakteristickou morfologii, kdy jsou v cytoplasmě patrné četné granule a velké dvoulaločnaté jádro [1 ]. Název získaly podle…

eozinofily | NZIP

Eozinofily jsou buňky imunitního systému, které se řadí mezi bílé krvinky. Eozinofily hrají významnou roli v průběhu alergických reakcí (konkrétně při jejich ...

Eosinofily - Katalog laboratorních metod | Nemocnice Privamed

Eozinofilie (zvýšení): alergická onemocnění, dermatitidy, tumory, parazitární onemocnění, gastrointestinální onemocnění, virové nemoci, hypereozinofilní syndrom

Eosinopénie

Eozinofilní granulocyty (eozinofily) jsou bílé krvinky, které se řadí mezi granulocyty (společně s neutrofily abazofily).

Suchý dráždivý kašel, snížené IgA a zvýšené eosinofily | Pro…

Dobry de, prosim vas mam problem s 5 rocnym synom. Pred 3 tyzdnami zacal syn sucho drazdivo kaslat,myslela som ze laryngitida co maval aj predtym, ale tento kasel mal tyzden a opakoval sa denne,z.

Eozinofil | Medicína, nemoci, studium na 1. LF UK

Eozinofily jsou podtypem leukocytů (přesněji řečeno patří mezi granulocyty). Za normálních v krevním obraze tvoří pouze 1-3% bílých krvinek. Eozinofily vznikají v kostní dřeni a následně se dostávají do krve a jednotlivých tkání.
Při pokusu o sdílení polohy došlo k chybě
Více informací
odkazuje na služby nejen od Seznam.cz.

© 1996–2025 Seznam.cz, a.s.