ObrázkyFeochromocytom

Feochromocytom
Feochromocytom
Kategorie:Patologické preparáty (1. LF UK) – WikiSkripta
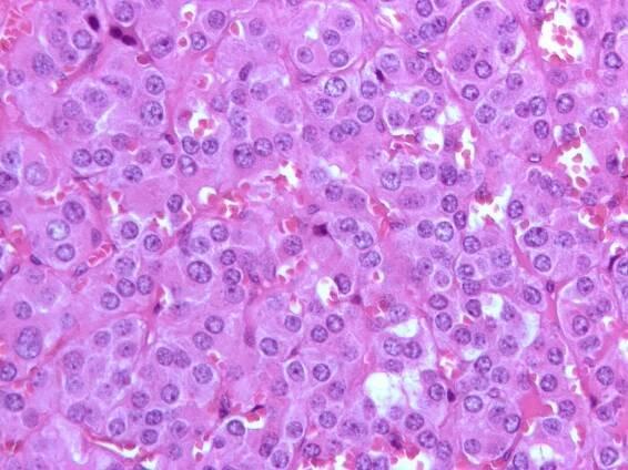
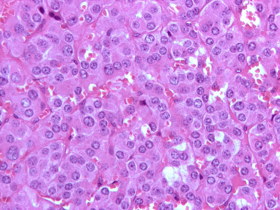
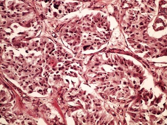
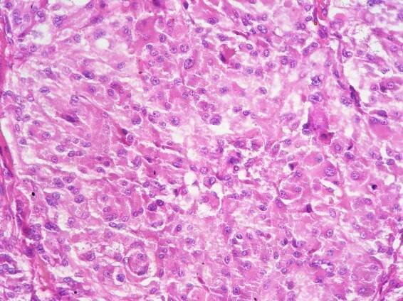
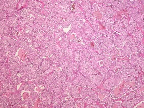
Feochromocytom (preparát) – WikiSkripta
Informace k výuce - 3. lékařská fakulta
Nádory neuroektodermové – WikiSkripta
jak-se-projevuje-feochromocytom-nador-nadledviny-priznaky-projevy-symptomy-4
PPT - Atrofie, dystrofie PowerPoint Presentation, free download - ID:709497
PPT - Obecná onkologie: Epiteliální (epitelové) nádory PowerPoint Presentation - ID:1363213
feochromocytom (ph nebo pcc). - nadledvinka stock ilustrace

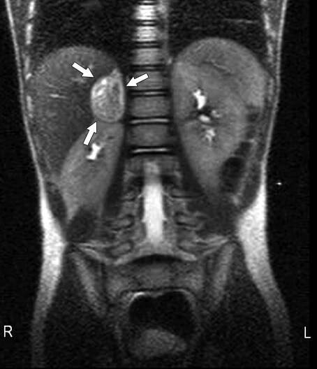
Feochromocytom je nádor, který se nachází v dřeni nadledviny (tj. ve středové části žlázy, která shora přiléhá k ledvině) a způsobuje nadměrnou tvorbu adrenalinu. Feochromocytomy jsou obvykle nezhoubné neboli benigní (tzn. nejedná se o rakovinu), ale mohou způsobovat vysoký krevní tlak, bolest hlavy,…

Feochromocytom – Wikipedie

Katecholaminy, které produkuje feochromocytom způsobují buď trvalou hypertenzi (vysoký krevní tlak), popřípadě epizody nebo záchvaty vážné hypertenze.

Feochromocytom | frequenz-therapie.com

Pokud se feochromocytom podařilo zcela odstranit chirurgickým zákrokem , je prognóza obvykle příznivá. Ve většině případů se po operaci krevní tlak normalizuje a příznaky zmizí.

Feochromocytom | Medicína, nemoci, studium na 1. LF UK

Feochromocytom je zajímavý typ nádoru nadledvin, který vychází z jejich dřeně. Většinou je nezhoubný (někdy však může být i zhoubný a vytvářet metastázy), ale přesto může ohrožovat nemocného na životě.

Feochromocytom - Pacák, Karel - Megaknihy.cz

Objednávejte knihu Feochromocytom v internetovém knihkupectví Megaknihy.cz. Nejnižší ceny 15000+ výdejních míst 99% spokojených zákazníků
Cena 511 KčSkladem

Laboratorní diagnostika feochromocytomu | Digitální repozitář…

Feochromocytom způsobuje zvýšení hladiny vyplavovaných katecholaminů, což může mít v neléčených případech fatální důsledky.

Kniha Feochromocytom | Odborná literatura a právnická…

Kniha Feochromocytom, Pacák Karel, Feochromocytomy jsou vzácné, ale zrádné nádory dřeně nadledvin, které produkují katecholaminy ...
Cena 490 KčSkladem

Feochromocytom – proč je jeho časná diagnóza pro p…

Autoři: Tomáš Zelinka; Jiří Widimský Jr Působiště autorů: Centrum pro výzkum, diagnostiku a léčbu hypertenze III. interní kliniky – kliniky endokrinologie a metabolizmu 1. LF UK a VFN Praha, přednosta prof.

Interní Med.: Feochromocytom

Feochromocytomy jsou vzácné neuroendokrinní nádory s velmi proměnlivými klinickými projevy, pro nějž jsou typické záchvatovité obtíže – bolesti hlavy, pocení, palpitace a hypertenze.

Feochromocytom

Feochromocytom je nádor z chromafinních buněk produkujících katecholaminy, které vyvolávají hypertenzi. Katecholaminy, které produkuje feochromocytom způsobují buď trvalou hypertenzi (vysoký krevní tlak), popřípadě epizody nebo záchvaty vážné hypertenze. Dalšími příznaky nadměrné produkce katecholaminů jsou bolesti hlavy, bušení srdce, pocení, nevolnost, úzkost a… Wikipedie

Lidé také hledají

Ebola
Virus
Mánie
Duševní porucha
SARS
Virus
Při pokusu o sdílení polohy došlo k chybě
Více informací
odkazuje na služby nejen od Seznam.cz.

© 1996–2025 Seznam.cz, a.s.