Fluidothorax – Wikipedie

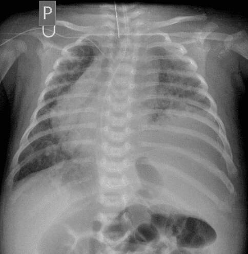
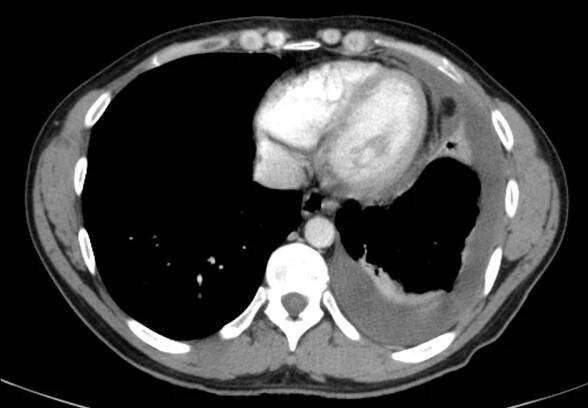
Fluidothorax, pleurální výpotek, pohrudniční výpotek (laicky "voda na plicích") je lékařský termín, označující patologické nahromadění tekutiny v prostoru kolem plíce v tzv. pleurální dutině mezi pohrudnicí (parietální pleura) a poplicnicí…

Maligní fluidothorax v paliativní onkologické péči pohledem…

Léčebně neovlivnitelná progrese onkologického onemocnění je provázena řadou závažných symptomů, které snižují kvalitu života a celkovou dobu přežití nemocného. Mezi tyto symptomy patří: bolest, anorexie, kachexie, nauzea, zvracení, dušnost…

ObrázkyFluidothorax

Schéma pleurálního výpotku
Fluidothorax
Česká Neonatologická Společnost •
fluidotorax priznaky projevy symptomy
CT

Fluidothorax jako atypický pozdní hyperstimulační syndrom…

Prezentovat případ izolovaného fluidothoraxu jako projev atypického pozdního hyperstimulačního syndromu.

Fluidothorax | Medicína, nemoci, studium na 1. LF UK

Fluidothorax (fluidotorax) znamená přítomnost tekutiny v pleurálním prostoru, tj. v prostoru okolo plíce. Může být jednostranný nebo oboustranný a může mít celou řadu příčin. Je-li fluidothorax tvořen krví, hovoříme o hemothoraxu, a je-li…

Fluidothorax jako atypický pozdní hyperstimulační…

Vyšetření v nemocnici prokázalo izolovaný fluidothorax, laboratorní vyšetření potvrdilo hyperstimulační syndrom. Závěr: Pozdní hyperstimulační syndrom se při naplnění dalších podmínek může projevit pouze jako izolovaný fluidothorax.

Voda na plicích u pacientů vyvolává nepříjemnou dušnost. Kdy se objevuje?

Před 6 měsíciVšechny tyto závažné zdravotní problémy mohou způsobit nahromadění vody na plicích, což se odborně označuje jako fluidothorax.

Metadata: Fluidothorax jako komplikace poranění hrudníku…

Knihovny pod jednou střechou. Využijte komfort a jednoduchost prohledávání fondů desítek českých knihoven současně. Využijte služeb knihoven, objednávejte, stahujte - kdykoliv a kdekoliv.

Medvik: Fluidothorax jako komplikace poranění hrudníku

Fluidothorax jako komplikace poranění hrudníku / Jana Bukáčková, Lenka Slavíková

Plicní obtíže, fluidothorax | uLékaře.cz

Dobrý den, prosím o váš odborný názor. Od 7.2.2019 do současnosti jsem pacientem plicní kliniky, střídavě v ambulantní péči i v rámci hospitalizace, pro neregredující fluidothorax.

Fluidothorax

Fluidothorax, pleurální výpotek, pohrudniční výpotek (laicky "voda na plicích") je lékařský termín, označující patologické nahromadění tekutiny v prostoru kolem plíce v tzv. pleurální dutině mezi pohrudnicí (parietální pleura) a poplicnicí (viscerální pleura). Fluidothorax je obecný název, který se dále konkretizuje dle zjištěného složení tekutiny. Obdobný stav je… Wikipedie

Lidé také hledají

Ebola
Virus
Mánie
Duševní porucha
SARS
Virus
Při pokusu o sdílení polohy došlo k chybě
Více informací
odkazuje na služby nejen od Seznam.cz.

© 1996–2025 Seznam.cz, a.s.