Gliomy jsou nádory, které se vyskytují v centrálním nervovém systému a můžeme je tedy zařadit mezi nádory mozku i nádory míchy. Tumory vznikají z tzv. buněk glie, které slouží jako podpora nervovým buňkám, pomáhají je vyživovat a chrání je proti škodlivinám v krevním oběhu. Některé podtypy buněk glie pomáhají…

Gliom – Wikipedie

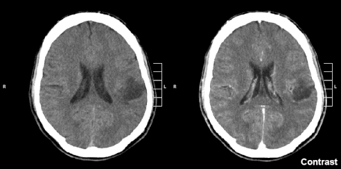
Gliomy tvoří cca 30 % všech intrakraniálních tumorů a 80 % všech maligních tumorů [1 ] Mezi gliom se řadí astrocytom, oligodendrogliom, glioblastom, ependymom, gliom mozkového kmene, tj.

Gliom | frequenz-therapie.com

Zpočátku se gliom může projevovat stále se opakujícími bolestmi hlavy, závratěmi, nevolností a zvracením. V závislosti na jeho umístění však může způsobovat také poruchy chování a smyslové poruchy, jako je brnění, a také poruchy zraku a řeči…

gliom | NZIP

Gliomy je souhrnné označení pro skupinu nádorů, které pocházejí z podpůrných buněk nervové tkáně, tzv. gliových buněk. Gliomy se mohou vyskytnout prakticky ...

Gliomy – co je to – příznaky, příčiny a léčba | Rehabilitace…

Gliom je typ nádoru, který vzniká v mozku nebo míše v tkáni zvané gliová tkáň. Gliová tkáň zahrnuje buňky zvané glie, které podporují a udržují normální funkci nervových buněk.

Gliom

Gliom je typ tumoru, jenž vzniká v mozku nebo míše. Název gliom je odvozen z glie. Gliomy tvoří cca 30 % všech intrakraniálních tumorů a 80 % všech maligních tumorů Mezi gliom se řadí astrocytom, oligodendrogliom, glioblastom, ependymom, gliom mozkového kmene, tj. dělení je nikoliv podle lokace vzniku ale podle toho, u kterých typů buněk se příznaky manifestují. Wikipedie

Lidé také hledají

Ebola
Virus
Mánie
Duševní porucha
SARS
Virus
Při pokusu o sdílení polohy došlo k chybě
Více informací
odkazuje na služby nejen od Seznam.cz.

© 1996–2025 Seznam.cz, a.s.