

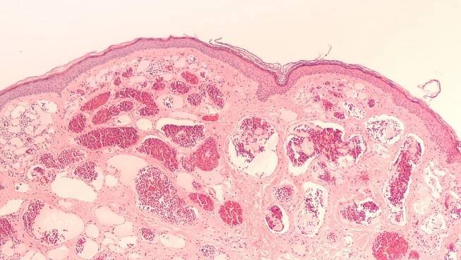
Benigní, tedy nezhoubný novotvar krevních cév. Vyskytuje se nejčastěji na kůži a postihuje hlavně děti.
Plochý nebo nad povrch vystupující červený až nafialovělý útvar. Při doteku zbledne.
Není
Plochý nebo nad po vrch vystupující červený až nafialovělý útvar. Při doteku zbledne.
Obvykle není nutná, hemangiomy samy zmizí. V komplikovanějších případech se léčí se betablokátory, laserem, chirurgickým zákrokem nebo kortikosteroidy.
Není
Může dojít k prasknutí cévní stěny, krvácení a vzniku vředů. V případě, že je hemangiom na hrtanu, mohou se objevit potíže s dýcháním.
Není
…lékaři snaží léčit. Používá se krátkodobější léčba kortikoidy, které způsobují zmenšování hemangiomu, a s úspěchem se používá i terapie laserem. Laser umí narušit cévy hemangiomu aniž by poškodil kůži. Chirurgické odstranění větších hemangiomů nebývá obvykle upřednostňováno, protože po něm zůstávají trvalé jizvy.
© 1996–2025 Seznam.cz, a.s.