Subdurální hematom představuje závažnou komplikaci při poranění hlavy, ke kterému nejčastěji dochází při autonehodách, pádech nebo jiných úrazech. Jedná se o druh traumatického poranění mozku, při kterém krev z poraněné cévy vytéká pod tzv.

Jak poznat krvácení do mozku? - Mojezdraví.cz

Před 7 dnyKrvácení do mozku může být jak akutní, velmi často po úrazu hlavy, tak chronické, kdy hematom na mozku narůstá delší dobu a projeví se později.

ObrázkyHematom na mozku

Subdurální hematom: příčiny, příznaky, diagnostika a léčba
Subdurální hematom – co je to – příznaky, příčiny a léčba
Chronický subdurální hematom
Epidurální hematom – co je to – příznaky, příčiny a léčba
Stáhnout - Mozkové krvácení nebo intracerebrální krvácení. prasknutí mozkové tepny, které vede k ničení nervových buněk, stejně jako vznik hematom. — Ilustrace
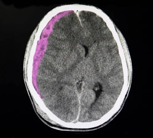
CT sken mozku pacienta po dopravní nehodě s akutním subdurálním hematomem
Michael Schumacher má několik otoků na mozku, jeden se v úterý podařilo lékařům odstranit. Co je subdurální hematom? Druh traumatického poranění mozku, při kterém se přetrhají žilky v ochranné membráně mozku a  dojde k otoku. Krev se hromadí mezi tvrdou plenou mozkovou a povrchem mozku a způsobuje tlak na mozkovou tkáň. Mezi symptomy patří bolest hlavy, zvracení, poruchy vědomí a někdy i zhoršení intelektu.
video thumbnail

Traumatické poranění mozku – Wikipedie

Traumatické poranění mozku (TBI z anglického Traumatic brain injury), také intrakraniální poranění nebo jednoduše poranění hlavy, je poranění mozku způsobené fyzickým traumatem, které poničí mozek.

Mozkové krvácení: příznaky a první pomoc | Pilulka.cz

K mozkovému krvácení zpravidla dochází při prasknutí cévy v mozku. Krvácení může vzniknout následkem silnějšího úrazu. Vyžaduje okamžitý lékařský zásah.

Hematom může být banalita, někdy ale život ohrožující problém. Záleží na velikosti i umístění

24. 4. 2023Hematom, krevní výron neboli modřina vzniká v důsledku poškození cévní stěny, následkem úderu, někdy i spontánně. Kdy je třeba k lékaři a kdy zmizí sám?
Při pokusu o sdílení polohy došlo k chybě
Více informací
odkazuje na služby nejen od Seznam.cz.

© 1996–2025 Seznam.cz, a.s.