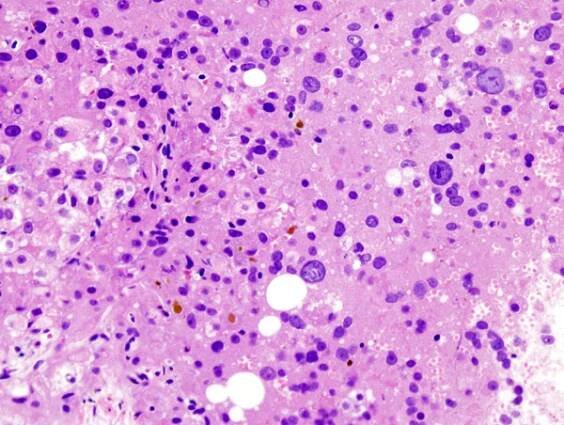
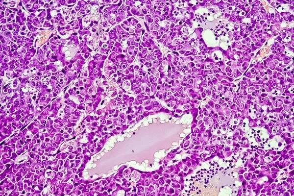
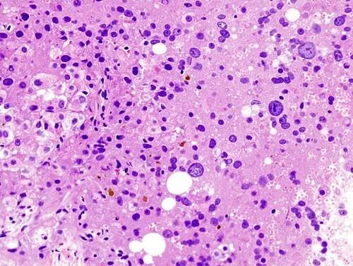
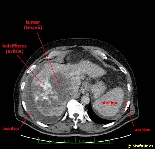
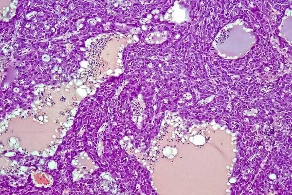
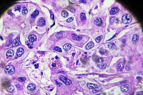
Hepatocelulární karcinom (HCC) je nejčastější primární maligní nádor jater. Celosvětově je hepatocelulární karcinom pátým nejčastějším nádorem u mužů a osmým u žen. K rozvoji tohoto karcinomu dochází nejčastěji u pacientů s chronickým jaterním onemocněním, obvykle v terénu cirhózy různé etiologie…

Hepatocelulární karcinom – prognostická kritéria…

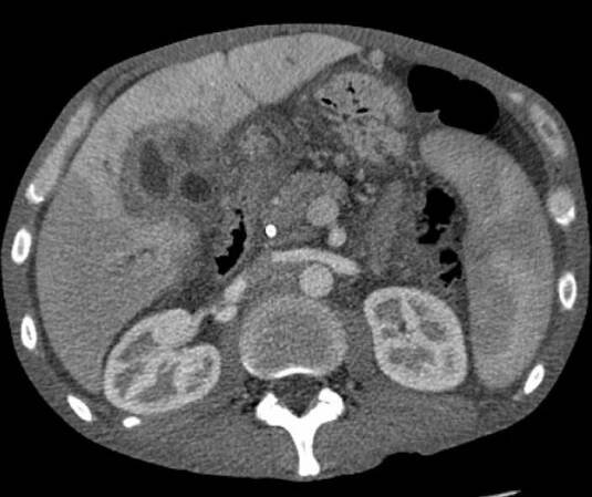
Východiska: Hepatocelulární karcinom (hepatocellular carcinoma – HCC) je celosvětově šestý nejčastější solidní nádor u dospělých a třetí nejčastější příčinou úmrtí na zhoubný novotvar s narůstající incidencí.

Hepatocelulární karcinom z pohledu gastroenterolog…

Hepatocelulární karcinom (HCC) je nejčastějším primárním maligním nádorovým onemocněním jater. Podle údajů systému Globocan bylo na celém světě v roce 2018 registrováno 841 080 případů HCC, ve stejném roce a podle stejného zdroje bylo…

Hepatocelulární karcinom - prognostická kritéria…

Východiska: Hepatocelulární karcinom (hepatocellular carcinoma – HCC) je celosvětově šestý nejčastější solidní nádor u dospělých a třetí nejčastější příčinou úmrtí na zhoubný novotvar s narůstající incidencí.
Při pokusu o sdílení polohy došlo k chybě
Více informací
odkazuje na služby nejen od Seznam.cz.

© 1996–2025 Seznam.cz, a.s.