Mycobacterium avium subspecies paratuberculosis (MAP) je intracelulární patogen. Napadá v první řadě buňky imunitního systému. Vyskytuje se u všech savců včetně lidí, způsobuje fatální onemocnění, které lze draze a dlouhodobě léčit, ale nelze je zcela vyléčit. Paratuberkulóza má dlouhou inkubační dobu (3…

Aviární mykobakteriózy u lidí – stále hrozící nebezpečí v České…

Zástupci komplexu Mycobacterium avium patří k nejčastěji prokazovaným původcům mykobakterióz u lidí. Jsou řazeni mezi podmíněně patogenní mykobakterie, přestože u ptáků (zejm. hrabavá drůbež) a savců (zejm.
Corynebacterium pseudotuberculosis a Mycobacterium avium subspecies paratuberculosis v mléce a mléčných produktech ovcí a koz
Mycobacterium Avium Complex (MAC)
BiOptimizers Herbal Parasite Guardian
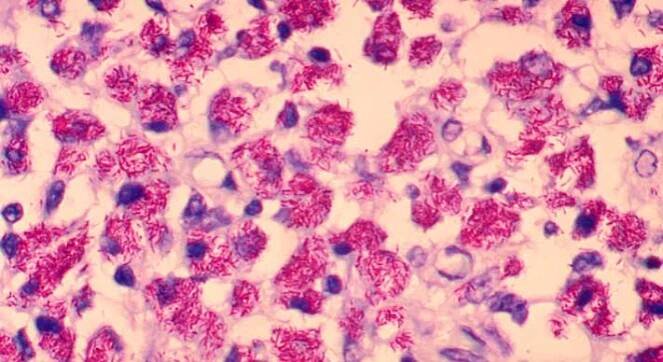
Mycobacterium avium
The Cause Of Autoimmune Diseases Like Rheumatoid Arthritis Could Be In Your Fridge | IFLScience

Mycobacterium avium subsp. avium and Mycobacterium neoaurum…

Mycobacterium neoaurum was cultured repeatedly from his sputum and, Mycobacterium avium subsp. avium (M. a. avium) was detected by IS901 qPCR from detached fragments of his intestinal mucosa.

Mycobacterium avium | iFauna.cz

25. 6. 2009Ahoj, měl jste někdo v chovu potvrzenou tuberkulózu? Existuje nějaký dostupný test na odhalení pozitivních jedinců? Pavel

Nejasnosti kolem Mycobacterium avium subsp. paratuberculosis…

Druhé zasedání bylo výhradně věnováno živočišnému patogenu Mycobacterium avium subspecies paratuberculosis (Map). Uvedený organismus způsobuje Johnesovu chorobu u mnoha živočišných druhů, např. hovězího dobytka, ovcí, koní, koz, jelenů, losů…

Medvik: Mycobacterium avium komplex

Bakterie řazená k atypickým mykobakteriím. Vyvolává onemocnění ptáků, drůbeže, je přítomna ve vodě. U člověka je oportunním patogenem.

Medvik: Mycobacterium avium

Měl by být rozlišován od bakterií komplexu M. avium, které primárně infikují člověka.
Při pokusu o sdílení polohy došlo k chybě
Více informací
odkazuje na služby nejen od Seznam.cz.

© 1996–2025 Seznam.cz, a.s.