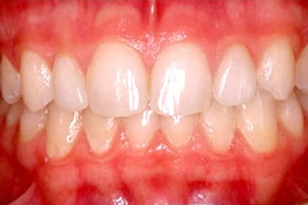
Parodontóza, parodontitida nebo také hovorově paradentóza je zánět takzvaného závěsného aparátu zubu. Předcházet a v počátečních fázích ji i léčit lze dobrou zubní hygienou. Jinak může skončit až ztrátou chrupu.

ObrázkyParadontoza-O

Paradontóza může vést až ke ztrátě zubů. Jak onemocnění včas poznat?
【精密根管治療 】|目白デンタルクリニック|目白駅徒歩3分|土日診療
TRI Dental Implants: Klinische Fälle
Překrytí odhalených krčků | M-DENT - Stomatologická ordinace v Hradci Králové
Pedodent I | pedodent.cz
Seeing is Believing - Amazing KöR Whitening Results
Zachraň mléčnou pětku: 3.díl kaz na žvýkací plošce
Fotka s případovou studií před-po. Na první force je vidět zub s nezaplněným kořenovýcm systémem a na druhé je vidět zub s dokonale zaplněným kořenovým systémem.
Fotogalerie – Zuby pro život
Paradontóza může vést až ke ztrátě zubů. Jak onemocnění včas poznat?

Parodontitida – Wikipedie

Parodontitida (parodontóza, paradentóza, paradontóza) je zánětlivé onemocnění závěsného aparátu zubů čili parodontu (lat. parodontium).

Paradentóza: prevence, domácí léčba, babské rady | Pleva

Víte jaké jsou příčiny vzniku paradentózy? Vysvětlíme vám, jak paradentóze předcházet, jak ji včas poznat a jak v případě jejího vzniku dásně i zuby léčit.

Paradontóza – léčba a přípravky – Green idea

Paradontóza je zánětlivé onemocnění zubů a přiléhající tkáně. Někdy může zasahovat až do přilehlých kostí.

III. Parodontitida - "parodontóza" :: Zuby.cz

Ty jsou obsaženy v nahromaděném mikrobiálním povlaku na povrchu zubů. Bakterie uvolňují jedovaté látky – toxiny, které poškozují okolní tkáně a způsobují zánět.

Co je to paradentóza a jak jí předcházet | BENU.cz

Parodontitidu způsobuje zanedbaná ústní hygiena. Je velkým strašákem zubů, ale i jejich majitelů. Jde o zánětlivé onemocnění dásní i okolního aparátu, na kterém jsou zuby zavěšeny.
Neobsahuje paradontozaMusí obsahovat paradontoza
Oteklé dásněDobrý den,
Otok dásní, který trvá tak dlouho a opakuje se, signalizuje problém, který by měl určitě řešit zubní lékař. Proto doporučuji jeho návštěvu, co nejdříve to bude možné.
Tablety Brufen rapidcaps řeší jak bolest tak zánět, ale neměla by jste je užívat dlouhodobě.
Na zánět dásní existují kvalitní přípravky s obsahem chlorhexidinu, například ústní voda Paroex 0,12%, ta se používá krátkodobě k výplachům. Používat 1 až 2 týdny k léčbě zánětu, neředit, voda působí na bakterie viry i kvasinky.
Z gelů bych Vám doporučila Enzymel Intensive gel na dásně - léčí zánět, je antibakteriální, snižuje otok a urychluje hojení a také zvyšuje vlastní obranyschopnost sliznice. Klidně vícekrát denně nanést na postižené bolestivé místo, chvíli potom nejíst a nepít.
Na čištění zubů doporučuji používat nejlépe jemný kartáček se zaoblenými štětinkami, který Vám nebude dásně dále dráždit. Z naší nabídky jsou to kartáčky Curaprox 5460, ty jsou nejjemnější.
Z tablet na tlumení bolesti je vhodný ibuprofen, nalgesin nebo diclofenac. Působí na bolest i na zánět, ale užívejte je vždy v souladu s jejich SPC a pokud nemáte jiné potíže či léky, které by byly k těmto lékům kontraindikované.
Paroex 0,12%
Enzymel Intensive gel na dásně
Curaprox 5460
S pozdravem
Mgr. Nesrstová Kristýna
vedoucí lékárník BENU Šternberk
Co na paradentozu a odhalené krčky?Dobrý den,
s odhalenými krčky pomůže jedině pečlivá zubní hygiena včetně denního používání kvalitního měkkého kartáčku, mezizubních kartáčků a jednosvazkového kartáčku. Vhodnou velikost mezizubních kartáčků vyberte spolu se zubním hygienistou, toho je potřeba minimálně dvakrát do roka navštívit. Standardně během ošetření pak také poskytne rady na co se zaměřit a provede fluoridaci, která pomůže odstranit vnímání bolesti. Chybou by bylo citlivá místa nečistit. Jako doplnění lze místo klasického kartáčku používat sonický - např. od TruLife nebo Sonicare. Jako příklad přikládám odkaz na jeden od firmy TrueLife. Pouhá zubní pasta nikdy nebude mít ten správný efekt. Zkuste se také informovat u Vaší zdravotní pojišťovny. Některé přispívají v rámci zdravotních programů právě na ošetření u zubního hygienisty.
TrueLife SonicBrush UV sonický kartáček
TePe mezizub.kart. Startovací sada
TePe jednosvaz.zub.kart.Compact Tuft blistr
Zdraví,
PharmDr. Matyáš Palan
lékárník BENU Beroun
Přípravek na paradentózu v těhotenstvíDobrý den.
Určitě můžete podávat krátkodobě (14dní) Parodontax. Bez problémů jsou i stahující pasty, jako je Lacalut.
Na webu fetalrisk.com, který sbírá data z jednotilivých národních databází, dokonce získala účinná složka chlorhexidin nejvyšší stupeň A.
S pozdravem.
Mgr. Václav Navrátil
vedoucí lékárník Olomouc

Léčba paradontózy a onemocnění parodontu | mediest.cz

Nevhodnou péčí o ústní dutinu může dojít až k zánětům měkkých tkání, a tím narušení pevnosti zubů. Naši specialisté na léčbu parodontózy vám navrátí zdravý chrup.

Nabídky ze Zboží.cz

Hodnocení: 100% 4,8 (11)
Skladem
od 59 Kč
375 Kč
Dr.Max Lékárna
Hodnocení: 100% 5,0 (9)
Do 3 dnů
od 99 Kč
319 Kč
Alza.cz
Při pokusu o sdílení polohy došlo k chybě
Více informací
odkazuje na služby nejen od Seznam.cz.

© 1996–2025 Seznam.cz, a.s.