Phyllodes tumor je řazen mezi fibroepiteliální nádory různé biologické povahy. Představují méně než 1 % všech nádorových onemocnění prsů, 2,5 % z fibroepiteliálních nádorů. Medián výskytu je kolem 45. roku věku, resp. typicky se vyskytuje ve vyšším věku než klasický fibroadenom. Nejčastějším klinickým projevem…

Phyllodes tumor - Wikipedia

Phyllodes tumors (from Greek: phullon), are a rare type of biphasic fibroepithelial mass that form from the periductal stromal and epithelial cells of the breast. [1 ] They account for less than 1% of all breast neoplasms. [2 ] They were…

ObrázkyPhyllodes tumor

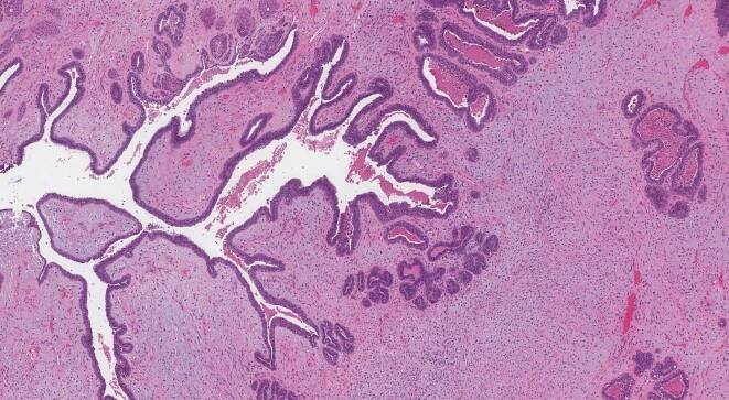
Borderline phyllodes tumor prsu
Your pathology report for benign phyllodes tumor of the breast
50 Facts About Phyllodes Tumor
Phyllodes tumor - Wikipedia
Hellfeldmikroskopie
MIKROGRAFICKÉ, obsahuje, krúžok, formy, trophozoite, parazit, vivax, zväčšený, 1125 x
Obrázek - Mycobacterium | BioLib.cz

Phyllodes Tumor: Treatments, Symptoms, and Causes

A Phyllodes Tumor is a rare tumor in the breast. Learn more about causes, symptoms, and treatment here.

Phyllodes tumors: Types, Symptoms & Treatment

Phyllodes tumors of the breast occur in your connective tissue. They are usually benign, but sometimes they are cancerous.

Phyllodes Tumors of the Breast | American Cancer Society

Phyllodes tumors are rare breast tumors that start in the connective tissue and are most common in women in their 30s and 40s. Learn more.

Phyllodes tumors: Symptoms, diagnosis, and treatment

A phyllodes tumor forms in the breast and tends to grow quickly. This type of tumor is rare and usually benign. Learn more about symptoms and treatment.

Phyllodes Tumors | Duke Health

Duke breast surgical oncologists are experts in diagnosing and treating phyllodes tumors, a rare type of tumor that grows in the breast.

Soubor:Phylloidestumor der Mamma - Mammographie.jpg – Wikipedie

Já, držitel autorských práv k tomuto dílu, ho tímto zveřejňuji za podmínek následující licence:

Maligní forma cystosarcoma phyllodes s metastázami…

Malignant Phyllodes Tumor of the Breast: Is Adjuvant Radiotherapy Necessary? In: Hayat MA (ed.). Methods of Cancer Diagnosis, Therapy, and Prognosis.
Při pokusu o sdílení polohy došlo k chybě
Více informací
odkazuje na služby nejen od Seznam.cz.

© 1996–2025 Seznam.cz, a.s.