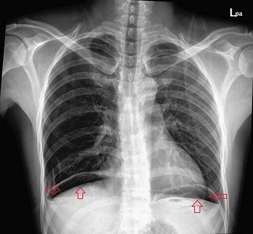
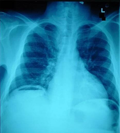
Pneumoperitoneum znamená přítomnost vzduchu v peritoneální dutině. Může se vyskytovat pooperačně, v důsledku perforace trávícího traktu, zřídka i fyziologicky (u žen).

Pneumoperitoneum | Medicína, nemoci, studium na 1. LF UK

Pneumoperitoneum je vzduch v dutině břišní (peritoneální dutina). Jde o abnormální situaci, která obvykle vzniká při perforaci trávicí trubice. Více informací najdete v příslušném textu.

ObrázkyPneumoperitoneum

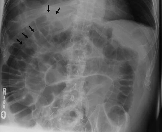
Double wall sign. This is a secondary sign of pneumoperitoneum. Patient is supine, and air within the abdomen and lumen of the bowel accentuate both sides of the bowel wall.
Česká Neonatologická Společnost • RTG abdomen 07 pneumoperitoneum
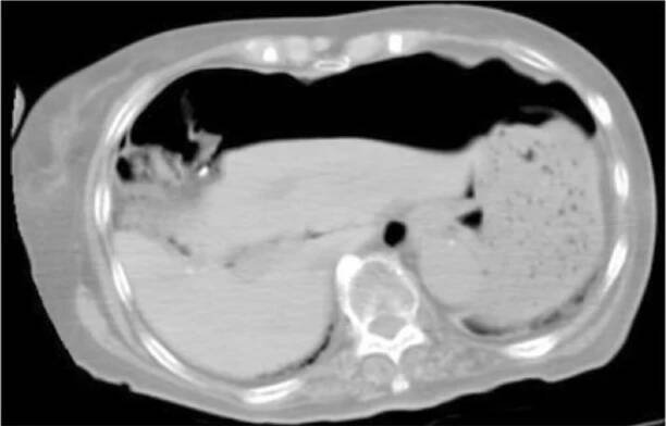
Computed tomography findings show a massive pneumoperitoneum
Perforácia gastroduodenálneho vredu - Medicína a chirurgia
retromuscular sublay position. The developed retromuscular space is measured for appropriate mesh size selection. Our preference is medium weight macroporous polypropylene mesh which is deployed through our 12 mm trocar (Fig. 9.12). There is no need for antiadhesion barriers as there now exists an autologous barrier between the mesh and viscera, a significant advantage of the sublay position. Mesh placement in the retro- muscular space has allowed for the discontinua- tion of aggressive penetrating fixation techniques with transfascial sutures, transitioning first to fibrin glue and, more recently, to complete cessa- tion of mesh fixation as our data illustrates pene- trating fixation is associated with higher incidence of chronic pain without the added benefit of low-  ered rates of recurrence. Pneumoperitoneum is released under direct vision, assuring the mesh is lying flat and wrinkle-free between the posterior and anterior layers.  Formerly, we once placed drains just superfi- cial to the mesh in all repair cases. We are now more selective with drain placement and do not utilize it for most patients. To date, we have not observed an increase in wound morbidity as a result.  Formerly, we once placed drains just superfi-  there now exists an autologous barrier between
Spontaneous Intestinal Perforation | Applied Radiology
Pneumoperitoneum, mimic of epiphrenic diverticulum
File:Pneumoperitoneum X-ray.jpg - Wikipedia

Benigní asymptomatické pneumoperitoneum u pacientky po CT…

Pneumoperitoneum je stav, kterým označujeme přítomnost volného vzduchu, resp. plynu v dutině břišní. Diferenciální diagnostika příčiny vzniku pneumoperitonea je poměrně široká a představuje různý stupeň závažnosti.

CSGH

Nelze však vyloučit ani jiný zdroj mikroperforace ve zbylé části kolon. V dále zmíněných studiích [7,8] není výjimkou, že zdroj mikroperforace není znám.

Vzduch v břiše - pneumoperitoneum | Medicína, nemoci, studium…

Vzduch v břiše se odborně označuje jako pneumoperitoneum. Obvykle se jedná o velmi závažný příznak, který vzniká při protržení některé části trávicí trubice. Příčiny

Přehled o publikaci

Pneumoperitoneum je stav, kterým označujeme přítomnost volného vzduchu, resp. plynu v dutině břišní. Diferenciální diagnostika příčiny vzniku pneumoperitonea je poměrně široká a představuje různý stupeň závažnosti.

Metadata: Pneumatosis cystoides intestinalis jako vzácná…

Knihovny pod jednou střechou. Využijte komfort a jednoduchost prohledávání fondů desítek českých knihoven současně. Využijte služeb knihoven, objednávejte, stahujte - kdykoliv a kdekoliv.

pneumoperitoneum | Velký lékařský slovník On-Line

Pneumoperitoneum – přítomnost vzduchu v břišní peritoneální dutině. Vzniká např. proniknutím vzduchu při perforaci některého z dutých břišních orgánů, např. jako závažná komplikace peptického vředu.
Při pokusu o sdílení polohy došlo k chybě
Více informací
odkazuje na služby nejen od Seznam.cz.

© 1996–2025 Seznam.cz, a.s.