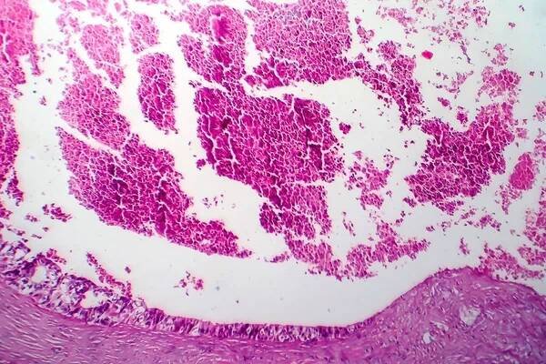
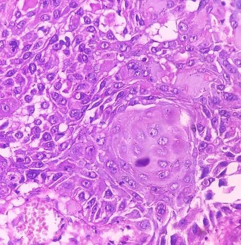
…carcinoma) je zhoubný nádor, který začíná v dlaždicových buňkách. Tyto tenké, ploché buňky svým vzhledem (pod mikroskopem) trochu připomínají rybí šupiny a nacházejí se v epitelové tkáni, která tvoří povrch kůže, výstelku dutých orgánů a výstelku dýchacích cest a trávicího traktu. Většina karcinomů děložního…

Skvamocelulární karcinom – Wikipedie

Skvamocelulární karcinom (latinsky Epithelioma spinocellulare) nebo také spinaliom je jedním z nejčastějších nádorů jak u lidí, tak u domácích zvířat.

Academy - Nádorová onemocnění: Spinocelulární karcinom

Spinocelulární karcinom je zhoubný nádor kůže, který se často zkráceně označuje jako spinaliom. Latinsky jde o spinalioma, anglickyz zase squamous cell…

Anální spinocelulární karcinom - Lohynská Radka - Megaknihy.cz

Objednávejte knihu Anální spinocelulární karcinom v internetovém knihkupectví Megaknihy.cz. Nejnižší ceny 15000+ výdejních míst 99% spokojených zákazníků
Cena 393 KčSkladem

Skvamocelulární karcinom

Skvamocelulární karcinom (latinsky Epithelioma spinocellulare) nebo také spinaliom je jedním z nejčastějších nádorů jak u lidí, tak u domácích zvířat. Jedná se o maligní nádor vytvořený z dlaždicovitých (spinocelulárních) buněk kůže. Tyto buňky jsou jednou z vrstev epitelové tkáně. Takové nádory se mohou vyskytovat také na sliznici. Wikipedie

Při pokusu o sdílení polohy došlo k chybě
Více informací
odkazuje na služby nejen od Seznam.cz.

© 1996–2025 Seznam.cz, a.s.