Jak rozpoznat paradentózu? - Léčba a správná péče

Zjistěte, jak poznat zánět dásní, kdy hrozí paradentóza a co pomáhá.
On-line interaktivní mapaNajdi zubní pohotovostRovnátka bez starostíSprávné čištění zubů

Transplantace dásně v zubařském křesle | uLékaře.cz

Existuje několik zákroků, které byste v zubařském křesle jen těžko čekali. Transplantace je bezpochyby jeden z nich. V jakých situacích se k takovému zásahu stomatolog uchýlí? Jak celá operace probíhá a jaká jsou rizika?
Cena transplantace dásní v Maďarsku
Transplantace zubu je levnější a kvalitnější než implantát
Transplantace krůtí dásně : Cena a postup
Gumový štěp
Léčba onemocnění dásní v Turecku
Transplantace zubu je levnější a kvalitnější než implantát
Jak často chodit na zubní hygienu, kolik vás to bude stát a komu přispěje pojišťovna
IMG_20191126_215459.jpg
Resorptivní léze zubů koček | Moderní veterina na Praze 4 - Veterinární klinika Vethope
Čelistní chirurgie: Extrakce semiretinované 8+ Beinovou pákou

Autotransplantace zubu | Dentální klinika Jan Stuchlík - zubní…

Využijte unikátní metodu a nechte si na chybějící místo v ústech transplantovat bezbolestně vlastní zub. | Zubař Praha - DrStuchlík.cz

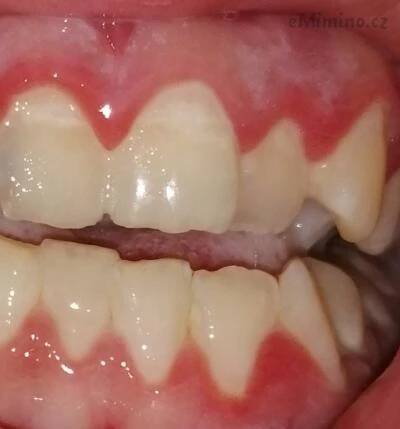
Transplantace dásně - Diskuze - eMimino.cz

29. 5. 2018Transplantace dásně už rozebírají maminky na webu eMimino. Podívejte se na jejich rady a přidejte do diskuze své zkušenosti.

Lékaři umí transplantovat váš vlastní zub i dáseň

26. 2. 2017Science fiction, nebo stomatologická realita jednadvacátého století? Autotransplantace zubu i řešení odhalených krčků pomocí vlastní dásně nejsou u nás…
Při pokusu o sdílení polohy došlo k chybě
Více informací
odkazuje na služby nejen od Seznam.cz.

© 1996–2025 Seznam.cz, a.s.