Vyhledat
Internet
Obrázky
Zboží
Mapy
Videa
Zprávy
Firmy
Slovník
Filtr obrázků
Všechny velikosti
Všechny velikosti
Velké
Malé
Barevné
Barevné
Černobílé
Jen barevné
Pouze e-shopy
Pouze recepty
Pexeso
clotrimazol al 1 krém 50g
clotrimazol al krém
clotrimazol al 1 krém
chlorhexamed forte
chlorophytum orchidastrum
Schéma pleurálního výpotku
cs.wikipedia.org
Fluidothorax
wikiwand.com
Česká Neonatologická Společnost •
cneos.cz
fluidotorax priznaky projevy symptomy
priznaky-projevy.cz
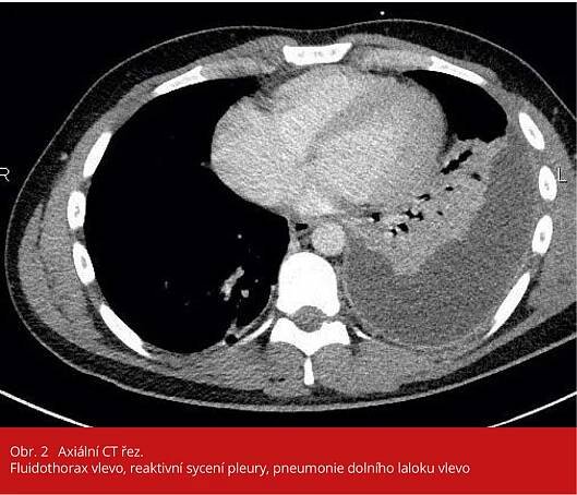
CT
sonoatlas.cz
Obr. č. 2: Celotělová třífázová scintigrafie skeletu v kostní fázi.
kcsolid.cz
Fluidothorax (voda v pľúcach, pleurálny výpotok): všetko, čo potrebujete vedieť
sk.medlicker.com
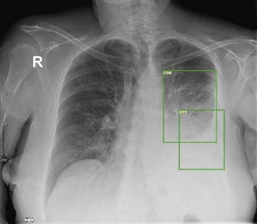
Voda na plicích | Medicína, nemoci, studium na 1. LF UK
stefajir.cz
BSC Mesh - A.M.I. – Agency for Medical Innovations
ami.at
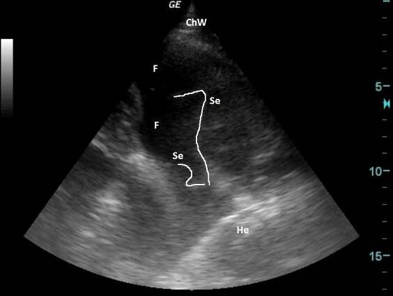
SONO
sonoatlas.cz
TOP 3 zdravotnické prostředky na českém trhu - zdravezpravy.cz
zdravezpravy.cz
Srdeční selhání – Wikipedie
cs.wikipedia.org
artroskopie kolenního kloubu - knee surgery stock ilustrace
istockphoto.com
Features | Keenan Case Presentation System | Law Firm Software
keenancps.com
Car Design Research Papers - Academia.edu
academia.edu
Vladimir Prof. Dr. Martinek – Prof. Dr. med. Vladimir Martinek
vladimir-martinek.de
Schatzkiho prstenec je symptomatické zúžení gastroezofageální junkce, které se projevuje příznaky, jako jsou bolest při polykání nebo váznutí tuhé potravy v distálním jícnu
cs.medlicker.com
An image showing the Vastus Intermedius Muscle attached to the lower limb
getbodysmart.com
Sciatica and Endometriosis
max-more.com
cor_tlif_plif_sbro_i_ant_tlif
nuvasive.com
Labrum stabilizace Arthrex
ortopedickeoperace.cz
Digital Radiology in Kailua Kona, HI | Keauhou Veterinary Hospital
keauhouvet.com
An image showing the Vastus Lateralis Muscle attached to the lower limb
getbodysmart.com
Shoulder Replacement - Space Coast Orthopedic
spacecoastortho.com
atlas graphics - sympathetic block
atlaspain.com
Can CPR Cause a Pneumothorax (collapsed lung)?
cpr-test.org
Hip – Biotechni
biotechni.com
Services – Parmele Post Rehab Exercise and Massage
parmpostrehab.com
Rozšířená neodkladná resuscitace - Intraoseální přístup
youtube.com
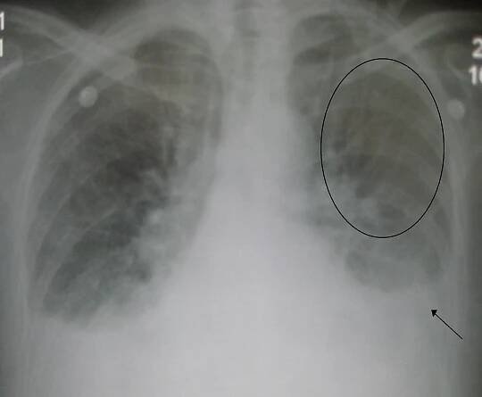
Závažný průběh bakteriemické pneumokokové pneumonie | Zamcasopis.cz
zamcasopis.cz
Samantha Maida | Design, Illustration, Consulting
sammaida.com
Ebook - Traumatología V3_PI2023 by QxMedic - Issuu
issuu.com
Metody léčby tendovaginitidy / Tendovaginitida | Užitečné informace a tipy na péči o sebe. Zdraví, výživa a další.
cs.ze-signon.com
From Rotator Cuff Repair to Shoulder Replacement: Your Guide to Shoulder Surgery
riversideonline.com
Lung Cancer - FOCP
focp.ae
Meniscal tears
medlineplus.gov
Hernien – mySurgery
mysurgery.de
an illustration of a sperm whale's bioaccoustic system
popsci.com
Pleuritida – WikiSkripta
wikiskripta.eu
Velký oblý sval (m. teres major)
is.muni.cz
Při pokusu o sdílení polohy došlo k chybě
Aktualizovat
Více informací
Seznam
Nápověda
Kariéra
Ochrana údajů
Nastavení personalizace
Odvolat souhlas
Přidat stránku do hledání
odkazuje na služby nejen od Seznam.cz.
Více o upoutávkách
© 1996–2025 Seznam.cz, a.s.
Ohodnoťte výsledky hledání